Dr. Pedro Pablo Díaz, Neurocirujano
Los científicos aseguran haber descubierto un nuevo objetivo potencial para la inmunoterapia de los tumores cerebrales malignos, que hasta ahora se han resistido a la inmunoterapia, el innovador tratamiento del cáncer basado en el aprovechamiento del sistema inmunológico del cuerpo. El descubrimiento, publicado en la revista ‘CELL’, de momento no tiene implicaciones inmediatas para el tratamiento de los pacientes, advierten los investigadores. SALUD ALBERT H. KIM
Cap Cana. – Los médicos ven ahora más tumores cerebrales por las herramientas diagnósticas disponibles, que permiten cada vez detectar más casos.
Los casos de tumores cerebrales han ido en aumento y no respetan edad, algunos de los cuales son malignos y toman en camino directo hacia la muerte.
Así lo aseguró el médico neurocirujano Pedro Pablo Díaz, quien puntualizó que no hay estadísticas sobre el tema que edifiquen sobre el cuadro real de estos eventos de salud.
El pasado presidente de la Sociedad Dominicana de Neurología y Neurocirugía sostuvo que los casos se han detectado en la población infantil y adulta.

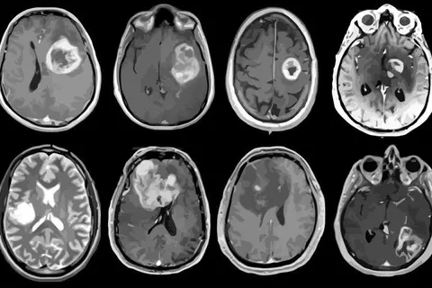
El gerente del Servicio de Neurocirugía del Hospital General Plaza de la Salud sostuvo que las herramientas diagnósticas permiten detectar ahora más tumores cerebrales que en el pasado.
Al presentar casos presentados en ese centro de salud, informó que los principales tumores que se producen son tumores cerebrales dentro del cerebro y los producidos en el tejido:
Díaz, con estudios especializados en Francia, dijo que los que salen del tejido cerebral pueden ser benignos y hasta altamente malignos, llamados gliomas grado 4, lo que consideró los verdaderos cánceres cerebrales.
Sostuvo que los tumores de las envolturas del cerebro han observado aumento importante en metástasis.
“Se observa incremento en los últimos años, no porque haya más tumores, sino porque tenemos más facilidades de diagnóstico con el aumento de los medios diagnósticos, como tomografía, resonancia magnética y estudios angiográficos”, precisó.
Manifestó que los tumores se han detectado en neonatos congénitos, que son niños que han nacido con tumores cerebrales, hasta los que se manifiestan en la última etapa de la vida.
Añadió que algunos factores de riesgo son desconocidos y otros provienen de trastornos en los cromosomas y la genética, así como los asociados al estilo de vida, como mala alimentación y fumar.
El doctor Díaz habló durante el XXXII Congreso Internacional de la Sociedad Dominicana de Neurología y Neurocirugía, al encabezar la presentación de casos de tumores tratados en Hospital General Plaza de la Salud.
En el evento científico, dedicado al fallecido doctor José Silié, trata como temas avances en neurociencias, técnicas innovadoras, cefaleas, epilepsias, trastornos vasculares y tumores, entre otros.
Es presidido por la doctora Cristian López, presidenta de la sociedad especializada, quien dijo que el congreso actualizará a los especialistas en los últimos procedimientos, medicamentos y herramientas diagnósticas.
Agregó que la actualización de los conocimientos científicos impactará en mejores tratamientos y cura para los pacientes.




















































